指しゃぶり防止手袋(ドクターサム)や指しゃぶり防止マニキュア(マバラバイターストップ)を使用しても指しゃぶりが治らない場合にどうするか? そのような場合は、下の写真のような悪臭癖除去装置(矯正装置の一種)を使用します。上の前歯の裏側にワイヤーの突起物が数本あり、指しゃぶりをしようと思ってもできない設計になっています。固定式なので子供が自分で取り外すことはできません。食事が少しやりにくくなりますが、短期間の辛抱です。尚、この装置は、指しゃぶりがひどいために上下の前歯が咬み合わないような開咬状態の子供(5歳~)に使用します。
300.jpg)
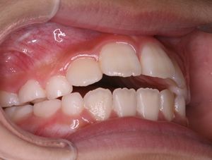
●指しゃぶりによる開咬の例(9歳)
前歯を使うことができないため、前歯の先端がギザギザのままです。