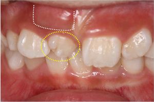
①黄色い丸印が過剰歯です。
四角く囲った部分に本来の中切歯があります。
過剰歯が邪魔になって中切歯がうまく萌出でき
ない状態です。このような場合には、すぐに過剰歯
を抜歯します。

②過剰歯を抜歯しました。
本来の中切歯よりかなり短い。

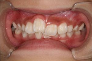
③過剰歯を抜歯して8ヶ月後です。
歯がはえるスペースが不足していたので、
出っ歯になってしまいました。
上下の前歯がガタガタなので矯正治療を
希望されました。

豊中(千里中央)のこどもの矯正お悩みナビ!お子様の歯並びや歯のお悩みなどお気軽にご相談お待ちしております。
症例集
①黄色い丸印が過剰歯です。
四角く囲った部分に本来の中切歯があります。
過剰歯が邪魔になって中切歯がうまく萌出でき
ない状態です。このような場合には、すぐに過剰歯
を抜歯します。

②過剰歯を抜歯しました。
本来の中切歯よりかなり短い。

③過剰歯を抜歯して8ヶ月後です。
歯がはえるスペースが不足していたので、
出っ歯になってしまいました。
上下の前歯がガタガタなので矯正治療を
希望されました。
