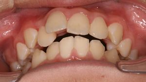
12歳の男の子、前歯がガタガタで出っ歯が気になるので矯正相談に来られました。レントゲン撮影したところ、下顎の第二小臼歯(黄色い丸で囲った部分)が先天的に欠損していて、乳歯がそのまま残っていることが判明しました。両隣りの永久歯に比べて高さが一段低くなっていて、咬み合せに問題があります。このような乳歯はいずれ駄目になって抜歯することになります。今回は、非抜歯矯正を希望されたのでまずはこのままの状態で矯正治療をスタートしました。大学に進学した後に乳歯を抜歯しての再治療を検討するとのことです。
豊中(千里中央)のこどもの矯正お悩みナビ!お子様の歯並びや歯のお悩みなどお気軽にご相談お待ちしております。
症例集
12歳の男の子、前歯がガタガタで出っ歯が気になるので矯正相談に来られました。レントゲン撮影したところ、下顎の第二小臼歯(黄色い丸で囲った部分)が先天的に欠損していて、乳歯がそのまま残っていることが判明しました。両隣りの永久歯に比べて高さが一段低くなっていて、咬み合せに問題があります。このような乳歯はいずれ駄目になって抜歯することになります。今回は、非抜歯矯正を希望されたのでまずはこのままの状態で矯正治療をスタートしました。大学に進学した後に乳歯を抜歯しての再治療を検討するとのことです。