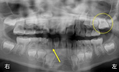
7歳の女の子、下あごの前歯が1本少ないと相談に来られました。レントゲン撮影したところ下あごの前歯(黄色矢印)が1本先天的にないことがわかりました(左上6歳臼歯の萌出が遅れています)。現在、下あごの前歯の部分は3本の永久歯が萌出している状態で、前歯が1本足りないので少し隙間が生じています。上下で歯の本数があっていないので、上あごの真ん中と下あごの真ん中がずれています。もし、下あごに4本の前歯があったとするとスペース不足のためにかなりガタガタの歯並びになっていたと思われます。しばらく経過観察を続けます。