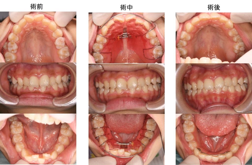
他院で矯正相談をしたところ、床矯正は無理で、乳歯が全部抜けてから本格矯正(ワイヤー&ブラケット矯正)になりますと治療方針の説明を受けたが、本人(中学1年生、女子)が取り外し式の床矯正を希望しているので何とかしてほしいとのことで来院されました。一番気になっている部分は、上の前歯が出っ歯に見える点で、次に気になるのは、下の前歯がガタガタであることでした。上下顎ともに歯の大きさに比べて顎が小さいので、床矯正装置で顎を広げていきました。上顎は床矯正装置のみで治療できましたが、下顎は、床矯正装置で顎を十分に拡大した後、下の前歯6本に4ヶ月間だけブラケットを装着し歯並びをきれいにしました。

治療費:¥400,000(税別) 治療期間:1年2ヶ月
副作用・リスク:リテーナーを正しく使わないと後戻りすることがある。