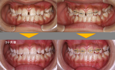
小学校6年生の女の子。上の前歯の隙間が気になるので、ここだけを治して欲しいという希望でした。中学校の受験があるので短期間で終わりたいという希望もあり、ブラケットとワイヤーを用いた部分矯正を行いました。

装置は、上の前歯4本だけに装着しています。矯正治療開始後3ヶ月できれいに隙間を閉じることができました。「装置が小さいので痛みもなく、食事も普通にできたし、塾の勉強にも影響がなかった。全体の矯正は大学生くらいになってから考えます。」と話してくれました。その後見事に第一希望の中学校に合格しました。おめでとうございます。
治療費:¥240,000(税別) 治療期間:3ヶ月
副作用・リスク:リテーナーを正しく使わないと後戻りすることがある