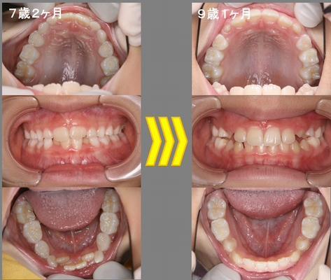
下の前歯がガタガタでキレイにしてほしいと言ってきた7歳2ヶ月の女の子。下顎の6歳臼歯がかなり内側に倒れていて、前歯部の叢生量(スペース不足)が約5mmくらいになっています。上顎はキレイに歯が並んでいるように見えますが、乳歯と乳歯の間に隙間が全くない状態であり、上顎も下顎と同様歯列が狭いと考えられます。このまま永久歯が生えそろうまで様子を見ていても歯並びが悪くなるだけです。取り外し式の床矯正装置で、上下の顎を拡大していきました。約2年で、綺麗な歯並びになりました。床矯正装置は、家の中だけで装着しました。

治療費:¥432,000 治療期間:2年
副作用・リスク:リテーナーを正しく使わないと後戻りすることがある