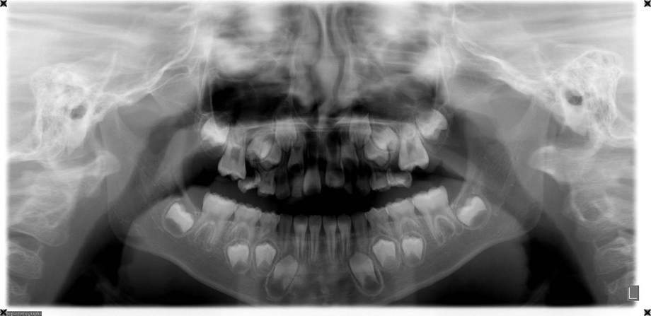
6歳9ヶ月の男の子。
上顎の第二乳臼歯が早期に脱落し後継永久歯の萌出スペースに明らかに不足しています。
ACCOという遠心移動床装置を使って2ヶ月でスペースを獲得しました。ACCOは家にいるときだけ使用してもらいスペースの維持をして経過観察を行っています。

治療費:¥435,000(税別) ACCOによる遠心移動の治療期間:2ヶ月
副作用・リスク:ACCOの使用を怠ると後戻りすることがある
豊中(千里中央)のこどもの矯正お悩みナビ!お子様の歯並びや歯のお悩みなどお気軽にご相談お待ちしております。
症例集
6歳9ヶ月の男の子。
上顎の第二乳臼歯が早期に脱落し後継永久歯の萌出スペースに明らかに不足しています。
ACCOという遠心移動床装置を使って2ヶ月でスペースを獲得しました。ACCOは家にいるときだけ使用してもらいスペースの維持をして経過観察を行っています。

治療費:¥435,000(税別) ACCOによる遠心移動の治療期間:2ヶ月
副作用・リスク:ACCOの使用を怠ると後戻りすることがある