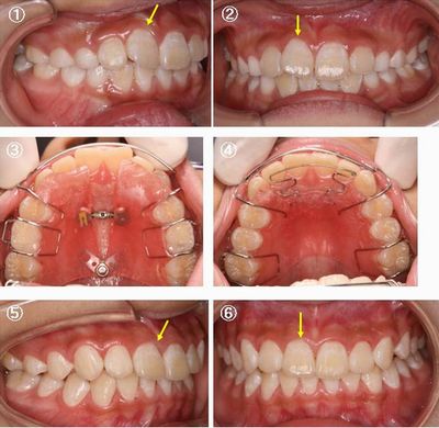
8歳4カ月の女の子の症例です。右上前歯のゆがみ(写真①②)が気になるそうです。
スペース不足のために前歯が斜めになってしまいました。下の前歯も少しかたつきがあります。
まず、ファンタイプの床拡大装置(写真③)を使ってスペース不足を改善しました。第二乳臼歯が抜けた後、閉鎖型床矯正装置(写真④)に交換しました。装置を交換して約2カ月で前歯4本がきれいなU字型になりました。上の前歯がきれいに並んだため、下の前歯も自然にきれいに並びました(写真⑤⑥)。

治療費:¥400,000(税別) 治療期間:2年2ヶ月
副作用・リスク:リテーナーを正しく使わないと後戻りすることがある