交差咬合(2本の反対咬合)の簡単な治療方法
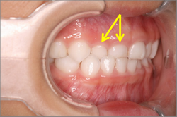
右上の2本の乳歯(黄色の→)が反対咬合の患者さん(3歳)。アイスクリームの棒で2本の乳歯を弱い力で前に押し出して3か月でかみ合わせが改善しました。装置をつかったわけではないので治療費は頂いていません。 ▼ ▼
続きを読む豊中(千里中央)のこどもの矯正お悩みナビ!お子様の歯並びや歯のお悩みなどお気軽にご相談お待ちしております。
右上の2本の乳歯(黄色の→)が反対咬合の患者さん(3歳)。アイスクリームの棒で2本の乳歯を弱い力で前に押し出して3か月でかみ合わせが改善しました。装置をつかったわけではないので治療費は頂いていません。 ▼ ▼
続きを読む5歳の女の子。受け口を治したいということでパナシールド(S)を使用してもらいました。 ①パナシールド使用前 上の前歯4本と下の前歯6本が反対のかみ合わせになっています。 ②パナシールド使用中2カ月経過(就寝時のみ装着) ...
続きを読む指しゃぶりの症例 ①術前(8歳3ケ月) ②術中(8歳7ヶ月) ③術後(9歳0ヶ月) 8歳3ケ月で、指しゃぶりの癖あり。開咬状態なので、そこに下くちびるをはさむ癖もあり。 8歳までず~っと指しゃぶりを続けていたので、前歯が ...
続きを読む