指しゃぶりをやめて6ヶ月(5歳、女の子、開咬)
5歳になっても指しゃぶりを続けていた女の子。上下の前歯が咬み合わない状態になっています。幼稚園の年長組に上がるタイミングで指しゃぶりをやめるようにトレーニングを行いました。しばらくして指しゃぶりをやめました。6ヶ月後には ...
続きを読む豊中(千里中央)のこどもの矯正お悩みナビ!お子様の歯並びや歯のお悩みなどお気軽にご相談お待ちしております。
5歳になっても指しゃぶりを続けていた女の子。上下の前歯が咬み合わない状態になっています。幼稚園の年長組に上がるタイミングで指しゃぶりをやめるようにトレーニングを行いました。しばらくして指しゃぶりをやめました。6ヶ月後には ...
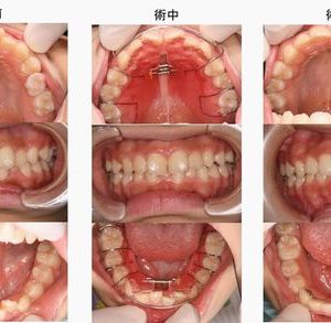
続きを読む小学校6年生の女の子。上の前歯の隙間が気になるので、ここだけを治して欲しいという希望でした。中学校の受験があるので短期間で終わりたいという希望もあり、ブラケットとワイヤーを用いた部分矯正を行いました。 装置は、上の前 ...
続きを読む他院で矯正相談をしたところ、床矯正は無理で、乳歯が全部抜けてから本格矯正(ワイヤー&ブラケット矯正)になりますと治療方針の説明を受けたが、本人(中学1年生、女子)が取り外し式の床矯正を希望しているので何とかしてほしいと ...
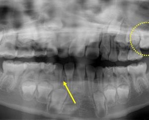
続きを読む7歳の女の子、下あごの前歯が1本少ないと相談に来られました。レントゲン撮影したところ下あごの前歯(黄色矢印)が1本先天的にないことがわかりました(左上6歳臼歯の萌出が遅れています)。現在、下あごの前歯の部分は3本の永久 ...
続きを読む10歳の女の子、上下の前歯がガタガタで八重歯が気になるとのことで矯正相談に来られました。レントゲン撮影をしたところ、下あごの第二小臼歯が1本先天欠損しており、第二乳臼歯(黄色に丸囲い)が残存していることがわかりました。 ...
続きを読む