12歳女の子、上の前歯をキレイにしたい!
12歳の小学6年生で、上の前歯のガタガタをキレイにしてほしいという希望でした。 上顎の6前歯にメタルブラケットを付けて、5ヶ月で矯正治療を終了しリテーナーで保定しました。 治療費用:¥288,000(税別) 治療期間:5 ...
続きを読む豊中(千里中央)のこどもの矯正お悩みナビ!お子様の歯並びや歯のお悩みなどお気軽にご相談お待ちしております。
12歳の小学6年生で、上の前歯のガタガタをキレイにしてほしいという希望でした。 上顎の6前歯にメタルブラケットを付けて、5ヶ月で矯正治療を終了しリテーナーで保定しました。 治療費用:¥288,000(税別) 治療期間:5 ...
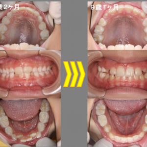
続きを読む下の前歯がガタガタでキレイにしてほしいと言ってきた7歳2ヶ月の女の子。下顎の6歳臼歯がかなり内側に倒れていて、前歯部の叢生量(スペース不足)が約5mmくらいになっています。上顎はキレイに歯が並んでいるように見えますが、乳 ...
続きを読む5歳8ヶ月、受け口(反対咬合)を主訴に来院。3人兄弟で一人だけが受け口。型取りがうまくできる年齢なので、すぐに矯正治療を開始しました。床矯正装置を使い上顎前歯部の前方移動を行いました。前歯部の反対咬合が改善してからは ...
続きを読む下の前歯がかたついているので、きれいにしたいという中学3年生の女の子の超短期間部分矯正の症例。 下顎の6本の歯にメタルブラケットを装着し、細いワイヤーで歯並びを綺麗にしました。3ヶ月で本人が満足するような歯並びになり装 ...
続きを読む丸印は、上顎の12歳臼歯の歯胚です。下顎の12歳臼歯の歯胚は本来矢印部分にあるはずですが、このレントゲン写真には写っていません。現状では、歯並び・咬み合せに大きな問題はないのですが、永久歯列(12歳~)になった段階で咬み ...
続きを読む