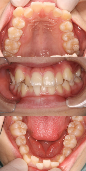
10歳の女の子、上下の前歯がガタガタで八重歯が気になるとのことで矯正相談に来られました。レントゲン撮影をしたところ、下あごの第二小臼歯が1本先天欠損しており、第二乳臼歯(黄色に丸囲い)が残存していることがわかりました。両隣りの永久歯と比較して咬み合わせの位置がずれておらず、根っこもしっかりしています。患者さん自身が非抜歯矯正を希望されているので、今回は乳歯をそのままの状態で抜歯せずに矯正治療を行うことになりました。上下顎ともに叢生量が大きい(ガタガタの度合いが大きい)ので、SH療法にて治療を計画しました。(小学生のレントゲン撮影をすると、10~20人に1人の割合で先天欠損が見つかります。)