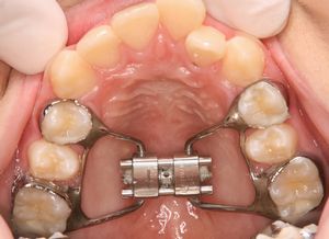
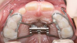
上顎急速拡大装置には、スケルトンタイプとスプリントタイプの2種類があります。どちらの装置もスクリューを回転していき側方に拡大していくと前歯の間に隙間ができてきます。この隙間は自然に閉じてくるのでそのままにしておいても大丈夫です。拡大が完了した後は、3D矯正装置やワイヤー矯正で歯並びをキレイにしていきます。

▲スケルトンタイプ急速拡大装置

▲スプリントタイプ急速拡大装置
豊中(千里中央)のこどもの矯正お悩みナビ!お子様の歯並びや歯のお悩みなどお気軽にご相談お待ちしております。
小児矯正Q&A
上顎急速拡大装置には、スケルトンタイプとスプリントタイプの2種類があります。どちらの装置もスクリューを回転していき側方に拡大していくと前歯の間に隙間ができてきます。この隙間は自然に閉じてくるのでそのままにしておいても大丈夫です。拡大が完了した後は、3D矯正装置やワイヤー矯正で歯並びをキレイにしていきます。

▲スケルトンタイプ急速拡大装置

▲スプリントタイプ急速拡大装置