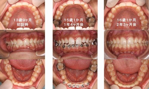
13歳の女子中学生、過蓋咬合(咬み合わせが深いために下の前歯が見えない)で下顎前歯部叢生(ガタガタ)の症例です。上下に3Dリンガルアーチを装着して咬み合わせを浅くしていきました。1年4ヶ月後に下あごにメタルブラケットをつけて叢生の改善を開始しました。上あごは、歯並びが整っていたのでそのまま3Dリンガルアーチで保持しています。更に11ヶ月経過して上下の歯並びが整ったので装置を外しました。下あごは前歯の裏側を細いワイヤーで固定して後戻りを防いでいます。

治療費:¥568,000(税別) 治療期間:2年3ヶ月
副作用・リスク:親知らずが生えるときに歯並びが乱れることがある