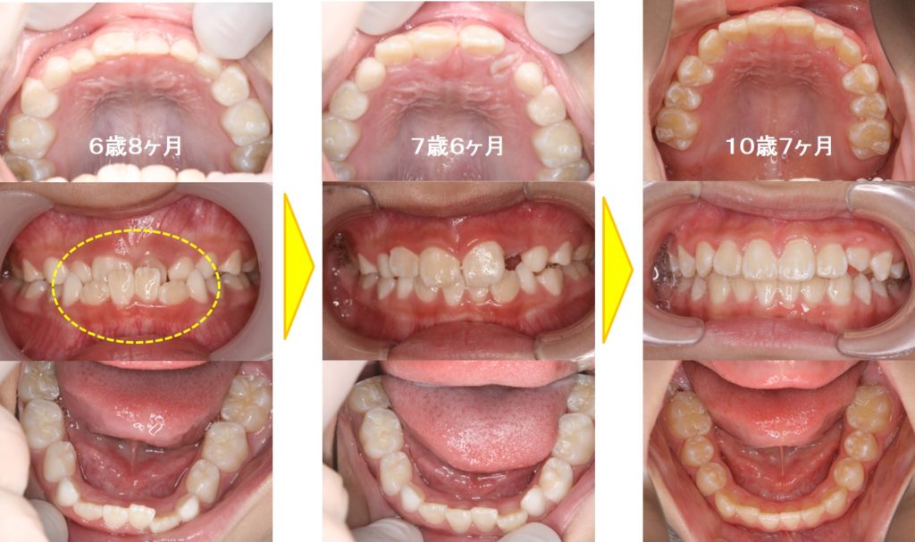
6歳8ヶ月の小学校2年生の男子の受け口症例です。母親が小学生のときに受け口の矯正治療をしていたそうです。前歯部分が完全に反対咬合(受け口)になっています。下あごの前歯はスペース不足でガタガタ(叢生)しています。床矯正装置を使用して約10か月で反対咬合は改善されました。その後もいくつかの装置を使い歯の生え変わりを利用しながら矯正治療を継続しました。乳歯が全て抜けてキレイな永久歯列になりました。

治療費:¥400,000 治療期間:3年11ヶ月
副作用・リスク:親知らずが生えるころに歯並びが乱れることがある